Smile Gallery Hildebran
Overview

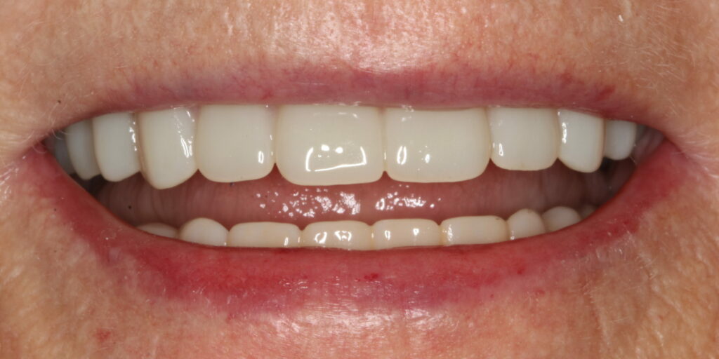
Learn About Veneers

Enhance your smile and boost your confidence with professionally crafted veneers offered by Dr. John M. Fish. Veneers in Hildebran are a popular and effective cosmetic dental solution designed to improve the aesthetics of your teeth while maintaining a natural look. With years of expertise in cosmetic dentistry, Dr. Fish takes pride in offering personalized care and advanced treatments to ensure every patient smiles brighter.

What Are Veneers in Hildebran?

Veneers in Hildebran are thin, custom-made shells crafted from high-quality porcelain or composite resin. These shells are bonded to the front surface of your teeth to improve their appearance. Veneers can correct a variety of dental imperfections, including discoloration, chips, cracks, gaps, and even minor misalignment. They are a long-lasting solution for patients seeking an efficient and minimally invasive way to achieve a flawless smile.

Dr. John Fish and his team exclusively work with state-of-the-art materials, ensuring that your veneers are durable and indistinguishable from natural teeth. We meticulously tailor each veneer to match the color, shape, and size of your existing teeth, resulting in a seamless and beautiful transformation.

Benefits of Veneers

Patients who choose veneers can enjoy numerous benefits, including:

  1. Improved Aesthetics: Veneers instantly enhance a smile by correcting visible imperfections such as stains, chips, and gaps.
  2. Natural Appearance: We customize porcelain veneers to mimic the look and feel of natural teeth, making them virtually unnoticeable.
  3. Durability: With proper care, veneers can last 10 to 15 years or more, providing a lasting investment in your smile.
  4. Minimally Invasive Procedure: Compared to other restorative treatments, veneers require minimal alteration to your natural teeth.
  5. Stain Resistance: Porcelain veneers resist discoloration from coffee, tea, wine, and other common staining substances.

By choosing veneers, patients gain a renewed sense of confidence and the freedom to smile without hesitation.

The Veneer Process With Dr. John M. Fish

Dr. Fish prioritizes patient comfort and satisfaction throughout the entire veneer process. Here’s what you can expect when you choose us for your veneers:

  • Initial Consultation: The process begins with a comprehensive consultation, during which Dr. Fish will evaluate your oral health, discuss your goals, and determine if veneers are the best solution for you. He will take the time to answer any questions and explain the procedure in detail.
  • Custom Treatment Plan: If veneers are right for you, Dr. Fish will create a personalized treatment plan. This involves taking precise measurements and impressions of your teeth to ensure a perfect fit.
  • Preparation: During the preparation stage, Dr. Fish removes a small amount of enamel from the surface of the teeth receiving veneers to ensure proper bonding and a natural appearance. We can place temporary veneers during this time.
  1. Crafting Your Veneers: Using advanced dental technology, Dr. Fish collaborates with top-tier dental labs to craft your custom veneers. We customize each veneer to complement your facial features and meet your aesthetic goals.
  2. Placement and Bonding: Once your veneers are ready, Dr. Fish ensures they fit perfectly and look natural before bonding them to your teeth with a safe and durable dental adhesive. He will make any necessary adjustments for a comfortable and precise result.
  3. Final Results: With your new veneers in place, you’ll leave the office with a radiant, stunning smile and renewed confidence.

Why Choose Dr. John M. Fish?

Dr. John M. Fish in Hildebran is a trusted name in cosmetic dentistry, known for his commitment to excellence and patient-focused care. With decades of experience and a passion for creating beautiful smiles, Dr. Fish has earned a reputation as one of the area’s leading providers of veneers. His attention to detail, use of cutting-edge technology, and dedication to patient satisfaction make him the preferred choice for those seeking top-quality dental care.

Transform your smile and boost your confidence with custom veneers by Dr. John M. Fish. Schedule your consultation today and take the first step toward the smile you’ve always dreamed of!

Why Choose Us?

Welcome to Dr. John M. Fish DDS, where we combine advanced dental technology with a comfortable, welcoming environment.

Office Amenities

Welcome to Dr. John M. Fish DDS, where your comfort is our priority. Relax and enjoy our thoughtful amenities, including blankets, bottled water, chapstick, coffee, free Wi-Fi, pillows, and convenient parking, as we provide you with exceptional dental care.

Dental Technology

Our state-of-the-art tools, including 3D printers, CT scanners, digital X-rays, intraoral cameras, soft tissue lasers, Trios intraoral scanners, and smile simulation, ensure that your treatments are precise, efficient, and tailored to your needs.

New Patient Special

We are excited to welcome new patients to Dr. John M. Fish DDS with a special offer of a complimentary, no-cost consultation. Take the first step toward a healthier smile and learn more about your dental options at no charge!

Patient Reviews

We are rated 5 out of 5 stars on google.